患者さまが安心して診療を受けていただけるように、納得した上で治療に臨んでいただけるように、院内は清潔を心がけ、最新の設備も備えております。
当院では徹底的な衛生管理を行い、清潔で安全な歯科治療を行なっています。
治療に用いる切削器具をはじめ、患者さまのお口に入る器具は滅菌・殺菌処理をし、エプロンやうがい用の紙コップなどは使い捨てにしております。
患者様に安心して受けていただける、安全な治療を心がけています。

痛みや悩みを抱えて診療を受けに来られる患者さまを笑顔でお迎えし、リラックスしていただけるようにスタッフ一同、心がけております。
診療室入口の扉は、60年前、この地に当院が誕生した当時からのもの。
2004年のリニューアル後も現役活躍中です。

衛生管理の一環として、スリッパを自動的に殺菌する機械を導入しています。いつも清潔な状態のスリッパを患者さまにお使いいただいています。

いつも清潔に保たれている診療台。
治療はもちろん、口腔内カメラで撮影した画像や、デジタルレントゲンで撮影した画像が座ったままご覧になれます。

患者さまに口腔内の状態をご確認いただきます。
ご自分の歯・歯ぐきの状態を理解・納得した上で、治療方法をご相談させていただきます。

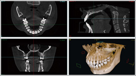
CTを歯科医院で使用している割合は、約100件に2件の割合です。
当院では精度の高い治療を行うために、最新鋭CTスキャンを導入しております。
従来のレントゲン画像は平面像(二次元)でしたが、歯科用CT画像は立体画像(三次元)で表すことが可能です。
例えば、インプラント治療の際に、顎の骨の状態(質や厚み、高さ、形態など)を把握することができ、顎の内部構造(骨の高さ・厚みや神経、血管の位置)を立体的に確認することができ、より正確な診断が可能となりました。
CTは、歯だけでなく、顎の内部構造や上顎洞の形態、粘膜の状態、病巣などを立体画像で確認できるので、いままでわかりにくかったところも見落とすことなく、治療することができます。
より詳しい診断をご希望される方は、お気軽にスタッフまでお申し付けください。